

“Öyle acı çekiyorum ki kalbim patlayacak sanki…”
Tanıdık geldi mi? Çoğumuz ya kendimizde bunu hissetmişizdir veya yakınlarımızdan böyle cümleler duymuşuzdur. Bu durumun sadece mecaz olmadığını düşünür müydünüz?
Evet, bu mümkün ve bilimsel olarak kanıtlanmış bir sorun. Bazen öyle acı çekeriz ki kalbimiz duracakmış gibi hissederiz. Hiçbir şey yokmuş gibi görünse de aslında bir sorun vardır: “Kırık Kalp Sendromu”. Doğru duydunuz! Yaşadığımız kayıplar, artı olarak stres, üzüntü, öfke gibi yoğun duyguların kalbimizde oldukça büyük bir yeri var. Aslında bu abartı bir durum değil.
Bilimsel olarak kanıtlanmış ve size kalp krizi geçiriyormuşsunuz gibi hissettiren bir rahatsızlık. Hatta belirtileri kalp kriziyle o kadar aynı ki hastalar soluğu acilde alıyor.
Halk arasında kullandığımız “kalbi kırılmak” deyimi aslında gerçek bir kalp rahatsızlığına dönüşür. Biz de kırık kalbimizin etkileri neler yazıda hep birlikte keşfedeceğiz.
Japon Balıkçılardan İlham Alan Kalp Sendromu

Kırık kalp sendromu, tıp diliyle takotsubo kardiyomiyopatisi. Yoğun stres yaşanan bir olayla birlikte kabaca sol karıncığın kasılmasının zayıflaması olarak tarif edebiliriz. Ancak bu durum çoğunlukla geçicidir. İlk kez 1990 yılında Japonya’da tanımlandı. Kalbin bu sıradaki görüntüsü japon balıkçıların ahtapot yakalamada kullandığı ağa (takotsubo) benzer ve ismi buradan gelir (Ceyhan ve Turgut, 2010).
Kalbiniz Size Ne Söylüyor?

Göğse saplanan ani ağrı, nefes darlığı, çarpıntı, baş dönmesi, soğuk terleme hatta bayılma gibi belirtileri içerir (Cleveland Clinic, 2023). Bahsettiğimiz belirtiler kalp krizi belirtileri ile neredeyse aynı yaşandığından hastaların acile başvurma şekli “Kalp krizi geçiriyorum.”dur.
Kalp Krizi Kadar Ciddi ama Farklı: Nedenleri
Temelde tetikleyici adrenalin hormonu gibi vücutta şok yaratabilecek hormon gruplarıdır. Bireylerin yaşadığı yüksek düzeyde ve yoğun stres vücutta ani şekilde adrenalin salgılatır. Ani adrenalin sonucu kalp geçici olarak şoka girer. Bu da kalp kasında gözlenen balonlaşmaya sebep olarak kas fonksiyonunu bozar. Kısaca yüksek stres, üzüntü, ani kayıplar gibi yoğun ve olumsuz bu duygular birçok hastalıkta olduğu gibi bunun da sebepleri arasında (Harvard Health Publishing, 2023). Diğer tetikleyici faktörlerle birlikte daha açık yazarsak:

- Şiddetli stres: Yakının kaybı, boşanma/ aldatılma/ terk edilme, aile içi şiddet.
- Ani kötü haberler: Ağır hastalık teşhisi, finansal kriz, kaza veya ölüm haberleri
- Fiziksel stres: Geçirilen ameliyat, travmalar, ağır hastalıklar, solunum hastalıkları (astım vb.)
- Nörolojik hastalıklar: Epilepsi nöbetleri, inme, ciddi kafa travmaları (Cleveland Clinic, 2023).

Kalp Krizi mi, Yoksa Kırık Kalp Sendromu mu?
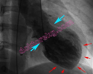
Kalp krizi sanılarak hastaneye başvuran hastaların %1-2’si (her 50-100 kişiden biri) kırık kalp sendromu tanısı alır. Bu tanıyı kalp krizinden ayırmak güç olabilir. Ekokardiyografi (EKG) ve kan testlerinde sonuçlar birbiriyle örtüşse de asıl ayırıcı tanı koroner anjiyografi ve EKG ile konur. Kalp krizinde kalbi besleyen koroner damarlarda tıkanıklık görülürken kırık kalp sendromunda tıkanıklık yoktur. Anjiyografi ile damar tıkanıklığı olup olmadığı tespit edilir. Kırık kalp sendromunda kalp sol karıncığın üst kısmı balonlaşırken tabana yakın kısımlar normal kasılma görünümünü alır. Takotsubo isminin çıkış kaynağı da bu balonlaşmış görüntüdür. EKG’de de balonlaşmış görüntü tespit edilerek tanı konmuş olur. Kalp krizinde kasta balonlaşma görülmez (Sağlıkta Yenilikler, 2021).
Kalbinizi Yeniden Sağlığına Kavuşturun
Kırık kalp sendromunda tedavi, semptomları hafifletmeye ve kalp fonksiyonunu desteklemeye yönelik İlk etapta hastalar, yoğun bakım ünitelerinde izlenir. Gerekli durumlarda oksijen ve damar içi sıvı verilir, ciddi ritim bozuklukları tedavi edilir. İlaç tedavileri ise:
- Kan basıncını düşüren ilaçlar, kalp kaslarındaki yükü azaltır – ACE veya ARB inhibitörleri.
- Beta blokerler – Kan basıncını düşürerek adrenalinin kalp üzerindeki etkisini azaltmaya yarar.
- Normal kan hacminin korunması ve kalp yetmezliğinin önlenmesi sağlanır – Diüretikler
- Kanda pıhtı oluşumunu önlenmesi sağlanır. – Aspirin/ Antiplatelet ilaçlar
Hastalarda tedaviye yanıt çoğunlukla hızlı olup hasta birkaç gün ile birkaç hafta arasında normale döner. Uzun vadede kalıcı bir hasar görülmesi ve ölüm oranı düşüktür. Hastalığın tekrarlama oranı %4-10 civarı olabileceğinden tedavi sonrasında hastalığı tetikleyecek faktörlerden uzak durulması veya bu durumlara karşı dikkatli olunması gerekir (Sağlıkta Yenilikler, 2021).
Tüm bu bilgileri toparlarsak kalbimiz yaşadığımız olumsuz olaylardan etkilenir. Kırık kalp sendromu çoğunlukla strese bağlı bir kalp kası sıkıntısıdır. Belirtileri kalp kriziyle benzer olduğu ve kalpte fizyolojik izleri olduğu için erken tanı ve tedavi önemli bir yer kaplar. Nitekim tedaviye erken başlandığında hastaların çoğunda tam düzelme olduğu görülmüştür. Belirtileri yaşayan her hastanın bir an önce sağlık kuruluşlarına başvurması hayati öneme sahiptir.
Kırık kalp sendromu bize kalbimizin biyolojik bir pompa olmasının yanında duygularımızın da baş tanığı olduğunu hatırlatıyor. Sağlıklı bir yaşamın temelinde hem fizyolojik hem de psikolojik olarak kendimize ve kalbimize iyi bakmak yatıyor.
Kaynakça
Alpaslan, M. (t.y.). Takotsubo. Mete Alpaslan. https://www.metealpaslan.com/ekg/takotsubo.htm
Ceyhan, C., & Turgut, O. (2010). Tako-Tsubo Kardiyomiyopatisi: Literatür Derleme. MN Kardiyoloji, 17(3), 218-224.
Cleveland Clinic. (2023). Broken Heart Syndrome (Takotsubo Cardiomyopathy). Cleveland Clinic. https://my.clevelandclinic.org/health/diseases/17857-broken-heart-syndrome
Harvard Health Publishing. (2023). Broken-heart syndrome (takotsubo cardiomyopathy) Howard E. LeWine. https://www.health.harvard.edu/heart-health/takotsubo-cardiomyopathy-broken-heart-syndrome
iStockphoto LP. (t.y.). Stok görseller, royalty‑free görseller, illüstrasyonlar, vektörler ve videolar. iStock. https://www.istockphoto.com/tr
Sağlıkta Yenilikler. (2021, Haziran 3). Kırık kalp sendromu nedir? [Video]. YouTube. https://www.youtube.com/watch?v=bV6VEAZXUng



